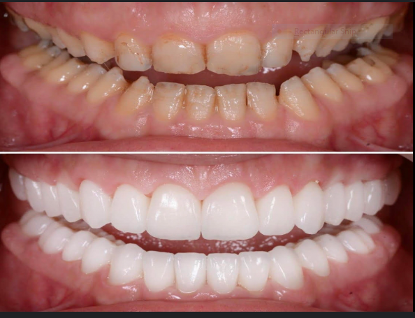
Visit our dental clinic in Kurnool, for complete dental care. From check-ups to advanced treatments, our skilled team ensures comfort and a healthy smile.







"Spurthi Dental Hospital is very well equipped in Kurnool. The ambiance is perfect. Many reputed doctors work as consultants here. It treats all kinds of dental issues. They are well trained in FPDs, RPDs, root canal treatment, and orthodontic problems."

"Spurthi Dental provides a good environment with timely appointments and a clean, calming atmosphere. The staff is very helpful, polite, and professional. Every visit is smooth and stress-free. I truly appreciate their service and highly recommend them."

” Excellent Dental Clinic,
Visited the clinic for my girl child teeth removal aged 6 years, Kid did not express much pain, etc, very well treated.
very friendly doctors at the hospital. Thanks to SPURTHI dental clinic, keep rocking. “

"The dental clinic provides a clean and comfortable environment with well-scheduled, on-time appointments. The staff is polite, helpful, and professional. Overall, a smooth and pleasant experience that makes dental visits stress-free and highly satisfactory."


The Best Dental Hospital Kurnool In INDIA
© 2025 Spurthi Dental Clinic. All rights reserved.